随着数字化技术的进步,可利用口扫设备准确获得患者牙齿、周围软硬组织信息,结合CBCT影像,通过软件设计模拟种植体植入方向。目前数字化设计在种植应用中已成为一个主流方向,可以使得手术治疗更精准、创伤更小、速度快。
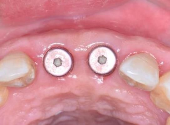
2022年6月20日,苏大附一院口腔科牙周种植团队,对一例上前牙重度骨缺损案例,进行软硬组织增量后,术后八月后口扫、CBCT分析组织形态,设计种植方向;利用国内研发的种植机器人微创、快速的完成上前牙美学区种植体植入,全程仅12分钟。这也是苏州地区首个利用种植机器人进行前牙美学区种植,见证了数字化技术在口腔应用的又一进步。
工作中经常会听到患者对种植牙的恐惧:“什么,要在骨头里打一个洞,太可怕了!”事实上种植牙分为两个部分,在第一阶段,医师在局部麻醉下将牙龈切开,使用精细工具制备出合适的种植洞,将种植体植入后缝合。第二阶段,临床检查评估种植体恢复情况,取模后将牙冠戴入即可。
新江苏·中国江苏网讯 (记者 孙骏 通讯员 冯元)随着人们对口腔健康的重视度提高,许多牙齿缺失人群为了更好的恢复咀嚼功能、提升美学效果,都会选择种植复。
龚寅医生检查设计方案和术中调整
【来源:新江苏·中国江苏网】


现代社会科学技术进步日新月异,数字化技术对临床医疗影响也越来越大。种植机器人在结合动态导航基础上,可以清晰观察手术途中种植钻针和术前设计的匹配度。当然,治疗也不会全部交给机器去完成,除了术前的设计、消毒、麻醉外,手术中主刀医生更多起到一个掌控精度和进度的角色,让医生的临床经验和机器人的高精度共同努力,保障治疗安全快速完成。